여러분께서는 과음을 좋아하시는 분들이신가요? 그렇다면 서둘러 이정보를 습득하시는 게 좋겠네요. 약간의 음주는 즐거움을 동반하지만 과음은 큰병을 가져오게 되어요. 성인 질병중 무시할수 없는 무서운 병인 간경화 초기증상에 대해 알아보려고 해요. 술문화가 유독 발달된 한국에서 회사에 다니시는 분들에게 많은 발병사례가 있어요. 간경화에 대하여 함께 알아보는 시간 가져보도록 해요.



간경화란?
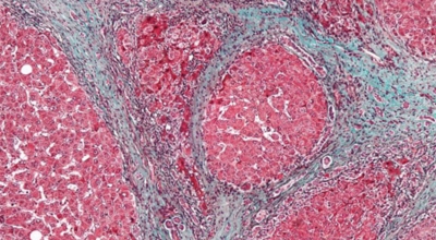
간경화는 학술적 병명인 ‘간경변증’의 일반화된 명칭이예요. 간세포 훼손(간염)이 오랜 시간 유지되면 간에 흉터가 누적되는 간섬유화증이 진행되며, 간섬유화증이 간 전반에 걸쳐 진행되면 간경변증이 되어요. 간에 흉터(섬유화)가 과도하게 쌓이면 간으로 혈액이 잘 유입되지 않아 간 문맥압이 늘어나고 이로 인해 문맥 고혈압 합병증(복수, 정맥류)이 생깁니다. 점차 정상 기능을 가능한 간세포의 수가 과도하게 적어지면서 단백질 합성, 해독 작용 등과 같은 간 기능 장애로 인한 합병증(황달, 간성 뇌증)이 발생해요. 간암 발병률도 크게 증가해요.
간경화 원인
보통은 한국에서는 간경화를 유발하는 주요 원인은 만성 B형 간염으로 약 70%정도에 딸할 정도이며 그 다음으로 C형간염과 알코올성 지방간, 자가면역 질환에 의한 간질환, 비알코올성 지방간 등이 있어 대부분의 간 관련 질환에 의하여 간경화가 일어난다고 보면 되어요.



간경화 증상
간경화 초기증상 (간경화 초기증상 자가진단)
- 여성의 경우 생리 주기가 상당히 길어졌거나 없어졌습니다.
- 남성의 경우 체중이 불어난 것도 아닌데 여성처럼 가슴이 부풀어 올라 유방처럼 보입니다.
- 황달이 나타났습니다.
- 피를 토하였거나 혈변을 보는 일이 생겼습니다.
- 소변 색이 이 전보다 확연하게 짙어졌습니다.
- 양쪽 볼의 모세혈관이 크게 보입니다.
- 남성의 경우 고환이 상대적으로 크게 위축되며 발기부전이 나타났습니다.
- 목 또는 가슴에 거미줄 형태의 혈관이 생겼습니다.
- 치질이 심해졌으며 손과 발바닥의 혈관이 확장되어 더 불게 보입니다.
- 하지부기가 잦고 배에 복수가 찹니다.
- 피로감을 쉽게 느끼고 아무리 쉬어도 피로가 풀리지 않습니다.
- 식사 때마다 소화불량이 잦으며 입덧인 듯 헛토악질 또는 토악질를 하는 경우가 많다고 해요.



지방간
지방간이 오래 보존되는 경우 간경화로 이어질 수도 있다고 하며 유전적 까닭에 의하여도 간경화가 발병할 수도 있답니다. 가족력이 있으면 주기적인 건강검진으로 미리 예방하실 수 있다고 하며 b형 간염과 c형 간염의 경우 예방접종으로 넉넉하게 미리 막을 수 있습니다.
간경화가 진행되었다면 굳은 간을 다시 되돌리는 데는 큰 한계가 있답니다. 하지만 간경화가 발생한 원인을 파악하고 그에 맞는 표적치료를 진행하게 될 경우 100% 복원은 불가하지만 일정 양는 좋아질 수 있기에 더 굳기 이전에 최대한 빠르게 치료를 받아보시는 게 중요해요.
만성 피로, 황달
간경화 초기증상으로 수면을 넉넉하게 취하고 푹 쉬었는데도 구애되지 않고 피로가 잘 풀리는 감이 잘 없고 식욕도 줄어들 수 있다고 해요. 그리고 잠을 잘 청하지 못해 수면이 모자란 증상이 있을 수도 있다고 하며 피부가 건조해 각질이 발생하거나 안구가 건조해질 수 있죠. 그리고 황달이라고 얼굴이 누렇게 뜨는 현상이 생기게 될 수 있답니다.
빌리루빈이라고 부르는 성분이 혈액 속에서 누적되게 되면 보일 수 있는 증상이라고 해요. 황달이 생기는 이유로는 간에서 소화를 위해 담즙을 생성하는데 담즙 속엔 빌리루빈이라고 부르는 노란 색소가 들어있어요. 하지만 어떠한 이유로 담즙이 변으로 빠져나가지 못하고 빌리루빈 색소가 피로 흡수되면 황달이 생기는 것이죠. 간 건강이 나빠졌을 때 제일 먼저 발생되는 증상이 바로 황달이라고 해요. 손, 발이 노란빛이 돌고 눈의 흰자 부위가 노랗다면 관리가 필요해요. 이런 이상 증세는 아무 이유 없도록 나타나지 않기에 미리 황달 증세가 없는지 체크하고 관리해야 해요.






부종, 체중 감소
손발 부종과 복부에도 비정상적으로 부어오르는 부기가 보여집니다. 알부민이라고 하는 단백질을 간에서 생성시켜내는데 이 기능이 낮아지게 되면 등장하는 증상이라고 해요. 특이 운동이나 식이요법을 하지 않았는데 빠르게 체중이 현저히 줄었다면 간경화의 시작단계증상을 의심해 보아야 해요.
간경화 말기증세
간경변의 치료 목표는 섬유화 진행과 간 기능 저하를 최대한 늦추는 것으로 보입니다. 이미 굳어진 간을 다시 좋은 간으로 회복하기 어렵기 때문입니다. 만일 합병증이 생긴다면 그에 따른 치료를 시행하지만, 대부분 간경변이 악화되면 배에 복수가 차기 시작하여 이뇨제로 조절하게 돼요.
만에 하나라도 이 방법이 여의치 않는다면 반복적인 복수천자가 필요할 수 있답니다. 위의 자가진단 리스트들은 간경화가 진행되었을 때 나타나는 몸의 변화들로 위 증상이 나타났다면 간경화가 시작되었을 확률이 상당히 높아요.



간경화의 주요 증상
간경화가 진행되면 결과적으로 단순히 간에만 질환이 발생되는 것이 많이 진행된 후에는 대부분 합병증 형태로 생기는 것이 위험해요. 단순 간경화 환자인 경우 5년 생존율이 70%에 가까우나 복수가 쌓이거나, 식도정맥류 출혈, 간성뇌증 합병증의 경우 5년 생존율은 20~50%밖에 되지 않습니다. 이 경우에는 주요 증상은 눈과 피부가 노래지는 황달, 복강내에 체액이 쌓이는 복수 등이 나타나게 되어요.
간경화 치료법
간경화 발생 주요 요인인 B형 간염과 C형 간염에는 치료제가 있어 초기에 이와 같은 질병에 대응이 가능할 시에는 중기, 말기로 악화되는 것을 막을 수 있죠. 또한 이러한 증상을 알았다면 절대로 술을 마시지 않는 것이 중요하며 간경화가 심한 경우라면 간이식을 받아야 완치에 이르를 수 있기 때문에 초기에 대응을 하는 것이 좋으면 평소 생활습관을 고쳐서 균형잡힌 식사와 알코올 관리를 통하여 간에 무리가 가지 않도록 주의하는 편이 좋아요.
그리고 영양 공급을 위하여 많은 영양분의약품, 한약 등은 오히려 간기능에 무리를 줄 수 있기 때문에 이미 진단을 받으신 분들이라면 전문의 상담후 복용하는 것이 좋으며 너무 짠 음식은 복수를 차게 할 수 있으므로 가급적 음식은 슴슴하게 섭취하는 것을 추천드립니다.






간경화 예방방법
약물, 한약, 건강기능식품 등은 간기능에 영향을 줄 수 있으므로 섭취 전에 전문의와 상담을 받으셔야 해요. 짠 음식을 복용하면 복수가 생겨 불편해질 수 있기 때문에 최대한 싱겁게 섭취하는 것이 좋아요. 증상이 나타나거나 아픈 곳이 발생하면 바로 병원에 방문해 진료를 받으시는 것이 좋아요. 위험인자를 제거함으로써 방지할 수 있는 방법이 있답니다.
먼저 B형 간염 백신을 접종하고, C형 간염 바이러스에 감염되지 않도록 조심하는 것이 좋습니다. 또한 많은 음주를 하지 않는 것이 중요해요. 정기적인 검사를 통해 조기 발견할 수 있도록 하고, 식이요법을 통해 미리 막는 것 또한 좋답니다. 고단백 식이는 간의 회복과 재생에 도움이 가능하지만 간기능이 다운되어 있는 경우에는 저단백 식이를 하는 게 좋아요.



간경화 초기증상에 관해 알아봤어요. 읽으시는 분께 아주 좋은 내용이 되었기를 바랄게요. 꼭 기억해 두시고 건강을 위해 챙겨보세요. 고맙습니다.
봄나물의 종류 10가지와 효능
봄에 나오는 나물들은 보약이라고 하는 말이 있을정도로 우리몸에 좋는 것으로 알려져 있습니다. 오늘은 이 보약같은 봄나물의 종류에 대하여 알아보도록 해요. 봄나물의 종류 1. 봄나물의 종류
unje.vinachillan.com
혈액순환이 안되면 나타나는 증상, 원인은 뭘까?
혈관은 건강을 잇는 통로입니다. 우리 몸은 머리부터 발끝까지 크고 작은 혈관으로 촘촘하게 연결돼 있어요. 심장에서 뿜어져 나온 혈액은 혈관을 타고 온 몸을 순환한 다음 다시금 심장으로 돌
unje.vinachillan.com
카무트 효능 10가지와 똑똑하게 고르는법
아래에서는 카무트 효능에 대해 자세히 살펴보려고 합니다. 도움되는 정보가 많으니 자세히 살펴보시기 바라겠습니다. 카무트란? 벼과 밀속에 소속되는 곡물이예요. 밀 중에서도 고대 이집트에
unje.vinachillan.com