오늘 얘기 해 볼 것은 대상포진 초기증상 예방접종에 대한 것인데요, 슬슬 대상포진을 조심해야 할 시기가 오고 있습니다. 아래단에서 자세한 내용 살펴보도록 하겠습니다.
대상포진이란
대상포진이란 띠 형태의 발진이라는 뜻으로 피부의 한 곳에 통증을 동반하여 신경대를 따라서 줄무늬 형태의 발진과 수포들이 나타나는 질환으로, 통증이 아주 심한 것이 개성입니다. 어린 시절 등에 수두에 걸린 적이 있는 사람은 바이러스가 몸 내부에 잠복하고 있어 누구나 발병할 가능성이 있어요. 발병 직후에는 땀띠와 비슷한 발진이 보이지만 땀띠와 달리 가려움뿐 아니라 통증을 동반하는 경우가 많이 보입니다. 진행되면 물집이 나타나는 것이 성격입니다.
환자의 대개 대상포진 증상으로 통증이 정도가 심한 경우가 많기 때문에 마약등의 성분인 진통제를 처방받게 됩니다. 수두균은 한 번 발생한 경우 대부분 사람의 신경절에 숨어있다가 평상시에는 평생 증상없이 나타나지 않다가 나이가 들거나 암 치유하기 위해 항암 치료를 한다거나 혹은 면역력이 저하되었을때 세포 면역이 감량하게되면서 그때부터 바이러스가 증식하면서 발병을 하게 됩니다. 대상포진은 수두에 걸린적이 있어야지만 발생되는 질병라는 점을 기억해 두시기 바랄게요.






대상포진 원인은
건강하다면 이 바이러스가 다시 활성화되지는 않습니다. 하지만 노화와 과로, 스트레스 등으로 면역력이 낮아지면 면역으로 억제할 수 없게 되어 잠복해 있던 바이러스가 활성화되어 버립니다. 활성화된 바이러스는 잠복하고 있는 신경 세포 안쪽에서 체내의 신경을 경유해서 체표로 나오려고 합니다. 그렇기 때문에 우선 신경이 아프고 그 후 피부 증상이 발병하는 절차로 대상포진이 진행됩니다.
과거엔 노인들이 대상포진에 접하게될 가능성이 컸지만 요즈음는 직장, 입시, 취업 등으로 사회적 스트레스로 2030 층에서도 대상포진 바이러스에 감염이 늘어났어요. 스트레스는 면역 체계를 낮추면서 신경계를 자극할 수 있다고 하는데요 따라서 요즘 20~30대 젊은 층도 대상포진 환자 전체의 20%를 차지하고 있어요. 대상포진 초기증상이 나이든 이들의 전유물이라고 부르는 생각에서 벗어나야 합니다.






단순 포진과의 차이
단순 포진의 경우 입술에 물집이 생기거나 부르트는 것을 단순 포진이라 해요. 통증이 비교적 낮으며 빈번한 재발 가능성이 있으며, 얼굴과 입, 성기, 피부 주위에 주로 생겨나게 돼요. 면역력이 저하됐을 때 척추의 신경절 속에 있던 바이러스가 피부나 점막으로 오며 나타나기 며칠 전부터 아픈 감각이 수일 전부터 발생하게 돼요.
이후 대개분은 2주일 이내로 단순 포진은 시간이 지나면 자연스럽게 치유되지만 이 질병의 경우, 단순 포진과는 다르게 처음에는 가려움으로 시작되어 점차 상당히 심한 통증과 함께 몸 한쪽에 띠모양의 붉은 반점과 수포가 올라오게 되어요. 물집을 방치하다 보면 고름을 유발하고 딱지가 가라앉은 후에도 신경통을 일으킬 수 있으므로 신속한 치료가 중요해요.






대상포진 초기증상
대상포진 초기증상- 통증
가장 널리 알려진 초기증상으로는 통증을 들 수 있답니다. 통증은 가슴, 배, 머리(안면) 순으로 많이 나타나며, 따갑고 화끈거리는 양상을 보입니다. 통증 정도는 개인차가 심한데, 대다수가 진통제가 필요할 정도의 대단한 통증을 경험하게 돼요.
죽듯이 아프다, 망치로 맞은 것 같다, 칼로 찌르는 것 같다, 바늘로 콕콕 쑤시는 것 같다, 등으로 표현되는데, 평생을 통틀어 가장 강력하게 느껴보는 아픔이라고 말하는 사람이 많다고 해요.
대상포진 초기증상- 오한과 발열
대상포진은 오한과 발열이 감기와 비슷한 증상을 나타내기 때문에 대상포진과 구별하기 어렵습니다. 이런 증상을 무시하고 계속 두면 발열, 피로 또는 두통까지 나타나게 할 수 있는데요 피부 발진이 발생한 후 약 3일에서 일주일 정도 오한 발열 증상이 지속될 수 있으므로 증상이 유지되면 빠른 시일내에 병원을 방문하시는 게 좋아요.






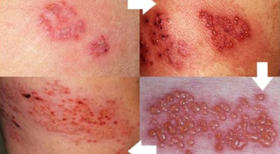
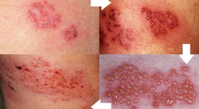
대상포진 초기증상- 수포
피부발진은 대상포진의 대표적인 증상 중 한 종류이죠. 바이러스가 침투한 감각 신경 분포를 따라 줄무늬가 생기는 것이 특징이며 초기에는 몸 일부에 발진과 물집이 생기다가 3~4일 후에 물집이 고름으로 변하면서 1주일에서 10일 사이에 딱지가 생깁니다.
이러한 유형의 통증은 감염된 부위를 그렇기 때문에 가려움등의 첫 증상으로 시작해서 몸의 대부분의 감각이 예민해지거나 사소한 통증도 민감하게 느껴지며 작열감, 따끔거림 과 같은 여러가지 모양의 통증이 나타나게 됩니다. 발진의 지속 기간은 보통 3주 정도라고 하는데요 증상이 심한다면 궤양이 생기게 될 수도 있다고 하며 이는 회복 기간을 연장시키고 심하면 흉터를 남길 수도 있습니다.
대상포진 전염성
대상포진 환자와 접촉하여 전염되는 것은 아니에요. 본인이 예전에 수두에 걸렸던 이력이 있을 경우 그로 인해 성인이 되어 그간 잠복해 있던 수두 바이러스가 활성화되며 대상포진이 발생하게 돼요. 하지만 수두에 걸렸던 적이 없는 사람도 대상포진에 감염될 수도 있는데 대상포진 환자의 피부에 발생된 물집이 터져 진물이 나는 상태에서 접촉하다 보면 감염될 수 있답니다.
때문에 가족 중 한명이라도 대상포진 초기증상이 나타났다면 식사도구, 세면도구 등은 분리하여 사용하는 것이 좋고 특히나 임산부라던가 어린아이, 노인은게 접촉되지 않도록 주의하는 것이 좋아요.






대상포진 치료방법
대상포진이라고 진단을 받았다면 병원에서 제일 먼저 약을 처방받게 됩니다. 대상포진 치료방법은 처음엔 항생제 연고, 진통 연고, 캡사이신 연고등을 사용하게 돼요. 대상포진 초기증상이 너무 심하던가 악화될 경우, 주사를 병용할 수 있습니다. 보통 항바이러스제 치료를 받게 되는데 대상포진 치료방법은 크게 내복약 외용약 주사치료로 나눌 수 있습니다.
치료를 통해 차도가 보여도 평소 집에서 잘 관리하지 않으면 세균에 감염되어 아플 수 있으므로 보통과 다르게 주의가 필요합니다. 특히나 노인이나 면역저하자 등 중년이나 노년층의 경우 증상이 호전되더라도 통증이 지속되는 경우가 많기 때문에 자가 관리가 중요한 질병이라 볼 수 있답니다. 초기증상을 발견하고 치료한다면 바이러스제 약물과 진통제를 통해 치료가 가능하지만 증상이 심한 경우 신경 치료가 동반될 수 있죠.
그리고 치료가 지체되어 시기를 놓치게 되면 대상포진 치료 이후에 합병증이 나타날 수 있는데요 이는 만성 통증으로 이어질 수 있기 때문에 꼭 조기에 치료하는 것이 중요합니다. 대상포진으로 인한 피부 병변은 보통 2주에서 4주 정도가 지나면 색소 침착이 남게되면서 사라지게 돼요.
대상포진 예방법
대상포진 예방접종 가격
예방접종을 통해 100% 예방이 되는 거은 아니지만 접종을 맞은 경우에는 대상포진에 걸리더라도 그 증상은 대상포진 예방접종을 맞지 않은 사람에 비교해 경미하게 나타난다고 해요. 따라서 만에 하나라도 걸리더라도 고통을 최소화 하고 싶다면 예방접종을 하는 것이 좋아요.
단 70세 이상의 경우 예방접종 효과가 현저하게 떨어질 수 있으므로 50대~60대에 맞는 것을 추천해요. 대상포진 예방접종 가격은 병원마다 다르기 때문에 병원에 문의를 해보아야 하며 가격은 10만원~20만원 사이라고 해요.






대상포진 예방법 - 규칙적이고 영양가 높은 식사
하루에 한 끼만 먹거나 시간 간격이 넓어지면 에너지원이 소모되면서 뇌 기능이 약해져 면역력이 떨어질 수 있답니다. 정해진 시간에 하루 세끼를 잘 챙겨 복용하는 것만으로도 넉넉하게 면역력 향상에 도움이 돼요. 그리고 영양소가 모두에게 들어간 양질의 음식을 섭취하는 것이 좋습니다. 패스트푸드 등 육체에 해로운 음식은 최대한 줄이는 편이 좋아요.
대상포진 예방법 - 예방접종
대상포진 예방접종도 중요합니다. 50%의 예방 효과가 있으며 걸리더라도 신경통 등등의 후유증을 60% 정도 감소하는 효과를 볼 수 있어요. 한번 재발했던 사람도 예방접종을 하면 재발률을 줄일 수 있는데, 주의할 점이라면 치료가 끝난 후 12개월이 지난 후에 접종을 해야 한다는 것으로 보입니다. 접종은 50세 이상부터 권장되는데, 생백신보다는 사백신을 선택하는 것이 좋다고 합니다.
생백신은 면역력이 낮은 사람이 맞을 경우 오히려 대상포진에 걸리게 되는 부작용이 있을 수 있답니다. 한국에서는 여태껏 생백신만 접종해 왔었지만 이런 위험성이 현저히 낮은 사백신이 곧 나온다고 하니, 선택해서 맞는 것이 좋을 것 같습니다.






대상포진 예방법 - 숙면하기
숙면은 면역력을 강화하는 멜라토닌의 분비를 증진시켜니다. 사람마다 적정 수면 시간은 다르지만 6~8시간 정도 푹 자는 편이 좋아요.
대상포진 예방법 - 하루 20분 일광욕
면역력과 연관이 있는 비타민D는 대부분 햇볕을 통해 합성되는데요 비타민D를 생성하기 위해서라도 하루에 20분 정도는 햇볕을 쬐는 편이 좋아요.



대상포진 예방법 - 규칙적인 운동
규칙적으로 운동을 하는 것만으로 넉넉하게 면역력을 높일 수 있습니다. 지나치게 과격한 운동을 한다면 면역계 활동을 억제될 수도 있기 때문에 하루에 30분씩 땀이 맺히는 정도로 유산소 운동을 하는 것이 좋아요.
우리가 생각해 볼 점이 많은 대상포진 초기증상 예방접종에 대해서 알아보았어요. 생각 외의 내용들도 많았는데요 잘 알아두시고 참고하셨으면 좋겠네요. 고마워요.
혈당 정상수치 기준 체크하기
대부분의 사람들은 당뇨병을 노화와 함께 나타나는 질병으로 생각하는데, 당뇨병 환자의 수는 매년 늘어나고 있으며, 요즘들어서 성인 5명 중 1명이 당뇨병을 앓고 있다고 해요. 요즘 들어 2030년
unje.vinachillan.com
옥수수 삶는 방법 시간, 물 양, 간하기
옥수수의 철이 왔어요. 옥수수는 왠지 여름의 상징이라고 하는 느낌이 드는데요, 수박과 옥수수만 있으면 행복한 여름을 날 수 있을 것 같다고 할까요. 저희 어머니께서도 옥수수를 너무 좋아하
unje.vinachillan.com
열무김치 맛있게 담그는법황금레시피 BEST 3
아래에서는 열무김치 맛있게 담그는법황금레시피에 대해 자세히 살펴보려고 합니다. 이제 열무가 맛있는 계절이 시작되었습니다. 매일 반찬을 고민하시는 주부님들께서는 참고하셔서 맛있는
unje.vinachillan.com