아래 글에서는 오십견 증상에 관해 알아보려고 하는데요 핵심만 골라서 알기 쉽게 정리해봤으니 세세히 읽어보시고 참고하시기 바래요.
오십견이란?
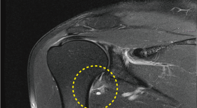
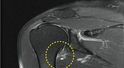
오십견이란 어깨의 통증과 어깨관절의 운동범위 제한을 특징으로 하는 질환으로 특히 50대 이후에 많이 발생함으로 오십견이라 이름이 지어졌으며 어깨관절이 얼어붙었다는 뜻으로 동결견(frozen shoulder)이라고도 합니다. 어깨관절의 운동성이 소실되기 때문에 옷 입기, 머리 감기, 물건 들기 등의 일상생활에 많은 어려움이 유발되며 통증에 의하여 잠을 못자는 경우도 대개 발생하게 됩니다.






오십견 증상
오십견 증상 - 바늘로 찌르는 듯한 통증
오십견은 바늘로 어깨를 찌르는 듯한 통증으로 가장 통상적으로 발생하는 증상입니다. 그래서 본인의 나이가 50대가 넘었고, 특별한 외상이 없는데도 어깨에 바늘로 찌르는 듯한 통증이 긴 시간 느껴지시는 분들은 오십견을 의심해 보셔야 하며 병원에 내원해 진단을 받는 것을 추천 합니다.
오십견 증상 - 수면 장애
오십견이 심한 경우 어깨에 강한 통증을 유발할수 있다고 하네요. 통증은 지속되기 때문에 잠을 자는 순간에도 통증으로 인해 수면의 질을 떨어뜨리게 되며 그래서 증상이 심하신 분들은 수면 장애를 겪는 분들도 많이 있다고 하죠.






오십견 증상 - 관절이 빳뺏해진 느낌
관절이 빳빳해진 느낌으로 오십견 증상을 방치했을 경우 관절이 빳빳해진 느낌이 들면서 어깨 움직임의 이동 범위에 점점 제한을 느끼게 된다고 합니다. 통증이 심한 경우에는 단순하게 옷을 갈아입거나 하는 행위를 할 때에도 통증 때문에 어깨를 움직이지 못하는 경우가 있겠습니다.
오십견 증상 - 어깨 결림
결림 증상은 근육의 긴장, 압박, 연축감이 주요 증상으로 이런 결림이 어깨 움직임을 제한하는 주요 이유가 되는 것 중 하나입니다. 증상이 악화되면 서서히 통증이 줄일 수 있으나 결림 증상은 더 심해질 수 있겠습니다. 이런 결림 증상이 있을 때 어깨 스트레칭을 통해 증상을 완화될 수 있답니다.






오십견 증상 - 야간 통증
유착이 되기 전 궤도로 거희 관절 운동 범위는 괜찮다고 하지만 간헐적 통증이나 야간 통증을 느끼게 되면 증상이 그다지 특징적으로 아프다고 할 수는 없다고 하며 그리고 보통 이 증상이 3개월 계속적으로 아프게 되면 이 시기에 외회전이 줄어들게 되면 조심하는 것이 좋고 병원에서 진단을 받는것을 추천드리겠습니다.
오십견에 좋은 운동
오십견에 가장 중요한 것은 수동적 관절 운동, 즉 스트레칭 운동입니다. 스트레칭 운동을 통해 유착된 관절의 운동범위를 늘려주는 것이 중요하다고 하는데요 스트레칭 운동과 함께 적절한 온찜질이 동반되면 조금 더 부드럽고 통증이 완화된 상태에서 어깨 관절 운동 범위를 늘려갈 수 있게 됩니다. 효과적인 스트레칭 운동을 위해서는 전문화된 의료진에게 직접 운동 방법을 올바르게 배우고 가급적 매일, 자주 하는 것이 중요합니다. 모든 운동은 꾸준히 했을때 효과가 좋다는 점을 반드시 기억해 주세요.






오십견 치료방법
오십견 치료방법은 도수치료, 프롤로주사, 핌스(FIMS) 등 비수술적 방법을 적용합니다. 이 중 도수치료는 마취통증의학과 전문의의 정밀한 진단을 바탕으로 해부학적 지식이 많은 치료사가 진행하는 수기 치료입니다. 치료사가 손과 소도구를 사용해 손상된 관절을 바로잡고, 경직되고 틀어진 주변 근육과 연부조직을 이완해 통증을 보완해 줍니다. 수기로 진행하는 만큼 환자의 증상과 상태에 따라 강도를 유연하게 조절하는 맞춤 치료가 가능합니다.
프롤로주사는 근골격계 초음파 영상 유도하 주사치료 중 한 개로 고농도 포도당 용액을 주입해 염증을 제거하고 손상된 조직을 재생하는 치료이며 근본적인 까닭을 개선할 수 있어 근골격계 통증에 많이 적용되어요. 이는 마취나 절개 등의 방법이 필요 없고 인체에 무해한 성분을 사용하므로 고령자나 만성질환자들도 받을 수 있습니다.
핌스치료는 프롤로테라피(Prolotherapy)와 핌스(Functional Intramuscular Stimulation)가 결합한 치료입니다. 약물을 이용하여 관절에 발생한 염증이나 유착을 제거해 준 다음 특수 바늘로 굳은 근육을 이완하는 비수술적 방법입니다. 고령자나 고혈압과 같은 기저 질환이 있는 환자에게도 적용할 수 있습니다.
오십견 증상 발현 3단계
제 1기 : 발생 3~4개월 구간, 굳어가는 결빙기(freezing)로 통증과 경직이 가장 심한 시기를 말한다고 합니다.
제 2기 : 발생 5~8개월 구간, 굳은 동결기(frozening)로 통증이 일부 해소되는 시기로 다만 100% 회복이 되는 것은 아니라서 경직이 남거나 관절 가동 범위 제한은 유지되는 경우가 있겠습니다.
제 3기 : 발생 9~12개월 구간, 해빙기로 통증이 경미하기에 완치를 의심하는 시기를 말하며 어깨 가동 범위의 제한이 상당 부분 해소된다고 합니다.



오십견도 위 3단계를 거쳐 대부분 1~2년이 지나면 자연 치유 될 수 있고 다만, 자연 치유에는 상당 시간이 소요되기도 하고 경직이 일부 남아 만성 통증으로 이어질 수 있다고 해요. 그렇기에 증상을 확인한 후에 내원하여 적극 치료를 진행하시는 것이 바람직하다고 보여 집니다.
우리가 생각해 볼 점이 많은 오십견 증상에 대해서 알아보았어요. 생각 외의 내용들도 많았는데요 잘 알아두시고 참고하셨으면 좋겠네요. 감사해요.
단백질 많은 음식 BEST 10
아래단에서는 단백질 많은 음식에 관하여 디테일하게 살펴보려고 해요. 도움을 주는 정보가 많으니 디테일하게 살펴보시기 바라겠습니다. 단백질이 많은 음식 10가지단백질 많은 음식 - 새우새
unje.vinachillan.com
잇몸에 좋은 음식 BEST 10
입안에서 치아를 지탱해주는 잇몸은 우리의 신체에서 주요한 부분입니다. 잇몸이 안 좋으면 출혈 또는 냄새가 나며, 역시 음식물을 알맞게 섭취하는데 어려움이 있답니다. 오늘은 평소 잇몸 관
unje.vinachillan.com
다리에 쥐가 자주 나는 이유 왜일까
다리에 쥐가 빈번히 나는 분들이 조심하셔야 할 것이 있답니다. 바로 심장 입니다. 물론 한번도 다리에 쥐가 난 적이 없는 분께서는 안 계시겠지만 수시로 나게 되면 심장이 위험해 질 수도 있습
unje.vinachillan.com