입안에서 치아를 지탱해주는 잇몸은 우리의 신체에서 주요한 부분입니다. 잇몸이 안 좋으면 출혈 또는 냄새가 나며, 역시 음식물을 알맞게 섭취하는데 어려움이 있답니다. 오늘은 평소 잇몸 관리에 주요한 잇몸에 어떤 음식이 좋은지 알려드리려고 해요.



잇몸이 아픈 이유
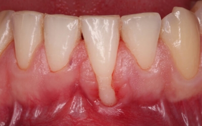
잇몸이 나빠지는 것을 치은염이라 하는데,, 치은염으로 발전달해주는 이유에는 자극적인 칫솔모나 자신에게 맞지 않는 칫솔을 쓸 경우에는 또 자극적인 성분의 치약을 쓸 경우 발생하기 해요. 치아를 받치고 있는 조직인 치주인대, 치은, 치주골 등에서 생기는 염증성 질환이 바로 치주질환인데요, 잇몸에서 피가 나오면 어느정도 치은염이 진행되었다고 볼 수 있습니다.
염증이 발생하여 구강내에 염증이 혈관을 타고 침입하면 다른 병으로 발전할 수가 있답니다. 잇몸에 염증이 생기면 딱딱한 음식보다는 부드러운 음식을 만끽하게 되는데 이렇게 되면 당뇨병으로 진행될 우려가 있답니다. 잇몸 아픈 거 정도는 시간이 지나면 해결될 거라고 생각하는 경향이 있는데, 알고보면 여러 병으로 발전할 수 있는 치명적인 병입니다.
잇몸 자가진단
하단과 같은 증상이 여러개 발생하고 있으면 잇신체 컨디션가 옳지 않은 것이며 주의가 필요해요.
1. 잇몸을 눌러보면 통증이 발생해요.
2. 차가운 음식이나 뜨거운 음식을 먹을때 이가 시리다.
3. 잇몸이 자줏빛 및 검붉은 색을 띕니다.
4. 양치질을 하던가 딱딱한 음식을 먹을 때 피가 나옵니다.
5. 충치가 없는데도 흔들거리는 치아가 생깁니다.



잇몸에 좋은 음식
그럼 우리가 평소에 복용할 수 있는 음식을 통해 어떻게 잇몸 질환을 미리 막을 수 있는지 알려드릴게요.
1. 잇몸에 좋은 음식 - 블루베리
블루베리에 포함된 '폴리페놀'은 입안 세균 증식을 막는데 도움되는 항산화 물질이 있어 치아 플라그 형성을 막고 치주 질환미리 막는데 도움이 돼요. 다만, 블루베리는 치아 변색 가망성이 있기에 먹고 난 뒤에는 입을 헹구거나 양치하는 것을 권해드리도록 하겠습니다.
2. 잇몸에 좋은 음식 - 귤
겨울철 즐겨먹는 과일인 귤에는 비타민C가 아주 매우 많은데요, 비타민C는 염증을 잠재우고 출혈과 부종을 줄이는 데에 도움이 되어 잇몸 건강 방지하는데 좋습니다.
3. 잇몸에 좋은 음식 - 녹차
녹차에는 타닌, 카테킨, 폴리페놀이 많이 포함되어 있어요. 특별히 폴레페놀은 항산화 성분으로도 유명하지만 치태, 충치와 같은 잇몸 질환을 방지하는 효과가 있어 잇몸 건강 유지에 도움 됩니다. 하지만 아시다시피 착색효과가 있기 때문에 너무 너무 많이 마시고 양치를 하지 않게 되면 치아 색이 변색될 수 있기 때문에 주의하시는 게 좋겠네요.



4. 잇몸에 좋은 음식 - 우유와 치즈
우유 뿐만아니라 치즈, 요구르트 같은 유제품은 칼슘, 카제인 단백질이 들어있어 뼈를 건강하게 해줍니다. 여기서 카제인 단백질은 입 속 산성도를 줄여준다는 연국 결과까지 있습니다. 우유 뿐만아니라 치즈, 요구르트 같은 유제품은 칼슘, 카제인 단백질이 들어있어 뼈를 건강하게 해줘요. 여기서 카제인 단백질은 입 속 산성도를 줄여준다는 연국 결과까지 있습니다.
5. 잇몸에 좋은 음식 - 죽염
유사한 이름의 치아 연관 제품이 나올 정도로 저명한 식품입니다. 보통은 섭취하는 소금 대신으로 복용하면 위장 건강을 포함해서 전반적으로 신체에 좋답니다. 다만 염증 완화 유사한 구강 건강 증진 효과를 기대한다면 죽염으로 이를 문질러 닦는다던지 가글을 하는 것이 직접적인 섭취보다 더 효과가 좋아요.
6. 잇몸에 좋은 음식 - 가지
적색 채소인 가지는 안토시아닌이라고 하는 항산화 물질을 갖고 있어요. 이 성분은 인체 다른 부위에도 도움을 줄 수 있으나 특히 염증을 가라앉힐 수 있어서 특히 좋은 음식이라고 볼 수 있어요. 강력한 분들이 잇몸 염증으로 고생하고 있는데 가지를 많이 먹거나 가지 물을 활용하여 가글을 함으로써 붓기와 염증을 완화시키는 효과를 기대할 수 있답니다.



7. 잇몸에 좋은 음식 - 양파
양파에는 항박테리아 물질이 많으므로 구강 내의 박테리아와 세균 제거에 효과가 좋아 전반적인 구강 건강 관리에 도움이 돼요. 그리고 양파의 섬유질이 플라그를 없애주는 효과가 있어 치아 건강에도 좋은 채소입니다.
8. 잇몸에 좋은 음식 - 시금치
녹황색 채소인 시금치에는 비타민A와 C가 다양해서 구강 상태를 알칼리로 바꿔주며 치태의 생성을 억제시키는 효과가 있답니다. 또 식이섬유가 풍부하여 플라그 제거 또는 구강 내 청결 상태를 올려주는 데에 도움을 줘요.
잇몸 관리 법
1. 금연을 하는 게 좋아요. 담배를 피우면 치주 질환에 걸릴 확률이 높으므로 잇몸에 좋지 않습니다.
2. 음식물이 치아에 끼었다고 이쑤시개를 활용 하는 것은 잘못하면 잇몸에서 피가 나고 치아가 벌어 질 수 있어 좋지 않습니다. 이쑤시개보다는 치실을 활용 하는 것이 좋을겁니다.
3. 6개월에 한번씩 스케일링을 하는 편이 좋아요. 치석이나 플라그를 제거해야만 잇몸이 튼튼해집니다.
4. 하루에 3번씩 식후에 칫솔질을 하는 것이 잇몸의 건강을 지키는데 보탬이 돼요.



잇몸 아플때 섭취하는 약
우리가 예사로 약국에서 만나게 되는 잇몸약으로는 인사*과 이가*이 있는데요 이 약들은 치주 인대를 재생하고 치조골을 형성하는 옥수수 불검화 정량 추출물을 주성분이 있어 해서 개선 효과를 주는 약입니다. 다만 이 약들은 잇몸이 이미 상한 후에 먹게되는데 큰 효과를 기대하기는 어려우며 병이 발생하기 전에 좋은 영양분과 식습관, 양치습관으로 미리 막는 것이 중요해요.
잇몸에 좋은 음식 잘 알아두셨다가 일반적인 때에 잇몸 관리 잘 하셔서 맛있는 음식도 즐겁게 드시면 괜찮을것 같습니다. 위 내용 바탕으로 건강에 항상 힘써보시기 바랍니다. 방문해 주셔서 감사드리도록 하겠습니다.
류마티스 관절염 초기증상 9가지
류마티스 관절염은 어느 순간 손가락 관절과 마디, 그리고 무릎에 통증이 오고 붓는 증상이 발생될 수 있답니다. 만에 하나라도 이런 상태에서 극심한 통증까지 나타난다면 류마티스 관절염을
unje.vinachillan.com
부추김치 맛있게 담그는법 추천 방법
여러분들은 부추김치를 들어보셨나요? 어느식당에 들어갔는데 반찬으로 부추김치를 주셔서 먹고는 완전 반해버렸어요. 오죽하면 사장님께 어떻게 만드냐고 여쭈어 보기까지 했답니다. 오늘은
unje.vinachillan.com
대상포진 예방접종 가격 미리 확인하는 법
오늘 살펴 볼 것은 대상포진 예방접종 가격에 대한 내용인데요 작년엔 저희 어머니가 걸리시고, 올해는 시어머니가 걸리셨답니다. 두분다 예방접종을 맞으셔서 그나마 증상이 약하게 지나갔는
unje.vinachillan.com