오늘 살펴 볼 것은 대상포진 예방접종 가격에 대한 내용인데요 작년엔 저희 어머니가 걸리시고, 올해는 시어머니가 걸리셨답니다. 두분다 예방접종을 맞으셔서 그나마 증상이 약하게 지나갔는데요, 두분을 보면서 예방접종은 꼭 해둬야겠구나 느꼈답니다. 아래 정보를 잘 알아두시면 도움 될 내용들이 많으니 세세히 살펴보시고 필수로 도움 받으셨으면 좋을 것 같아요.
대상포진 원인
대상포진을 일으키는 바이러스는 수두가 치료된 후에도 이 바이러스가 사라지지않고, 우리 몸 속의 신경을 타고 척수 속에 오랜 기간 동안 숨어있다가 우리의 몸이 약해지거나 다른 질환으로 생체 내의 면역기능이 떨어져 있을 때 다시 활성화되어 이 병을 일으킨다고 합니다.
주로 대상포진은 60세 이상의 고령자이거나 암 등이 있는 환자, 항암제 치료를 받고 있는 환자 등 전신적 면역기능이 떨어졌을 때, 바이러스가 되살아나서 이 병에 걸립니다. 하지만 젊은 사람도 과로와 스트레스 등을 많이 받으면 이 병이 일어날 수 있어요.
몸의 면역력이 약할때 수두 바이러스가 활성화되며 우리 몸을 공격하면서 생기는 것인데요, 평소에 건강했더라도 몸 속에 숨어있던 수두 바이러스가 건강이 안좋아질때 신경을 따라 온몸에 퍼지며 수포, 농포, 반점등과 같은 피부의 질환과 신경통이 함께 찾아옵니다.
단순히 건강이 안 좋을때 뿐만 아니라 스트레스로 인해 면역이 약해질 때에도 대상포진에 걸릴 수 있답니다. 그렇기 때문에 몸 상태가 안좋고 여러가지 이유로 스트레스 받고 많이 지쳐있는 때, 방심하는 사이 대상포진이 찾아올 수 있는 거라고 합니다.






대상포진 증상
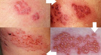
증상은 피부의 발진, 수포로 나타나기 전까지는 마치 감기몸살과 흡사한 증상을 보입니다. 때문에 피부 발진이 일어나기 전까지는 감기로 알고 방치하는 경우가 발생할 수 있는데, 피부에 띠 모양의 수포가 생기기 시작하면 본격적으로 대상포진 증상 이 발현된 것이며 이때부터는 몸을 날카로운 것으로 찌르는 것과 같은 극심한 고통도 발생한다고 합니다.
대상포진 증상 은 바이러스가 신경선을 따라 이동하기 때문에 척추 중심으로 양 옆에 띠 모양으로 발진이 생깁니다. 또 피부 발진은 가슴이나 배 중심으로 주로 생기지만 팔. 다리, 얼굴에 생기는 경우도 더러 있다고 해요.
의료기관의 조사에 따르면 2021년 4월 기준 대상포진 예방접종 평균 가격은 142,383원 입니다. 최고가 예방접종 가격 은 180,000원, 최저가 예방접종 가격 은 100,000원 입니다.
가격을 확인하는 방법은 건강보험심사평가원에 가시면 비급여진료비정보 조회가 가능합니다. 아래 링크에서 대상포진 검색 > 의료기관 구분 > 지역 선택 후 검색하면 병원별 대상포진 예방접종 가격 을 미리 확인할 수 있습니다.
대상포진 예방접종 가격 확인하는법
대상포진 초기증상- 통증
대상 포진은 일반적으로 피부에 발진입니다. 피부에 발진이 생기기 전에는 알 수 없습니다.발진이 생기면 알게 됩니다. 대상포진 초기증상으로 발진이 나타나기 일주일 전부터 가벼운 통증이나 가려움증이 나타나기 시작 합니다.
대상포진의 통증은 일반적인 통증과 약간 다른 느낌이 들어요. 그런데 일바적이 통증과 다르다고 확연하게 구별할 수있는 것은 아닙니다. 그래서 약간이라도 통증이 다르다고 느끼시면 가까운 병원에 가서 진단 받는 것을 추천합니다.
대상포진 초기증상- 신경통
병변이 사라진 후에도 통증은 지속될 수 있어요. 이러한 증상을 대상포진후 신경통이라고 합니다. 매우 드물지만 통증 없이 수포가 발생하거나 통증 없이 수포가 발생하기도 합니다. 대상포진 초기증상 후 신경통은 매우 고통스럽습니다.
일반 진통제에 잘 반응하지 않는 매우 심한 경우에는 신경차단을 해야 합니다. 신경근의 감각신경이 분포하는 부위에 국한되어 피부의 병리학적 증산이 나타납니다. 신체의 한 부분에서 심한 통증이 처음에 나타나게 됩니다.






대상포진 초기증상- 피부 발진
피부발진은 대상포진 초기증상의 대표적인 증상입니다. 바이러스가 침투한 감각 신경 분포를 따라 줄무늬가 생기는 것이 특징입니다. 초기에는 몸 일부에 발진과 물집이 생기다가 3~4일 후에 물집이 고름으로 변하면서 1주일에서 10일 사이에 딱지가 생깁니다.
이러한 유형의 통증은 감염된 부위를 그렇기 때문에 가려움과 같은 첫 증상으로 시작합니다. 그러다가 몸의 대부분의 감각이 예민해집니다. 사소한 통증도 민감하게 느껴집니다. 작열감, 따끔거림 등과 같은 다양한 형태의 통증이 나타나게 됩니다.
대상포진 초기증상- 감각이상
통증을 동반하여 감각 이상이 나타날 수 있습니다. 마치 사람의 살처럼 느껴지거나 피부에 따끔 거림, 감기 또는 가려움증을 동반합니다. 이로 인하여 물집과 마찬가지로 만지는 것을 조심하는 것이 좋습니다. 빈번히 만지거나 하면 증상이 더 심해질 수 있습니다. 얼음 찜질과 같은 처치를 하는 편이 좋아요. 오래 지속될 경우 대상포진 초기증상인지 확인하기 위해 의사의 진단을 받아 보는 것이 좋을겁니다.






대상포진 예방접종 가격 알아보기
화면 속 가격은 동작구 로 선택해서 나온 검색 결과입니다. 12만원 에서 19만원까지 꽤 편차가 큰 편이죠. 그렇기 때문에 가고자 하는 병원의 가격을 미리 가격 확인해보고 가시는 것이 좋겠죠.
대상포진 예방접종 가격 확인하는법
지역 선택 > 비급여진료비정보 > 예방접종료 선택 > 상세분야 대상포진 선택 하시면 됩니다.
대상포진 예방접종 무료 접종
또한 각 시,도,구 에서는 취약계층 노인층을 위한 무료접종 지원도 진행하는 곳도 있고 지원 내용에 따라 65세 이상이면 일부 금액 지원이 되기도 하니 일반 병원보다 우선 거주하고 계시는 지역 보건소에 문의해 보시면 괜찮을 듯 합니다. 최근 백신이 동나서 무료 접종이 중단된 곳도 있다고 하니 방문 전에 반드시 전화로 상담 받아 보시기 바래요.
근처 보건소 바로 확인
대상포진 예방접종의 효과
대상포진에 걸렸을 경우 치료법은 항바이러스제를 투여해서 증상을 저하시키고 치료 기간 단축, 합병증 감소의 효과를 볼 수 있습니다. 다만 극심한 고통을 유발하고 합병증도 많이 생기고 쭉해서 치료를 해야하는 만큼 걸리지 않게 예방하는 것이 중요한데요, 예방접종을 통해 예방이 가능하긴 하지만 필수예방접종 대상 감염병에 속하지는 않는다고 하네요.
대상포진 예방접종을 통해 발병률을 크게 낮출수 있고, 나이가 많을 경우 효과가 감소하기는 하나 접종 후 걸린다고 해도 증상은 약하게 나타나고 신경통도 약하게 발생하기 때문에 당연히 안하는 것보다는 하는 것이 여러모로 좋겠습니다.같아요.
대상포진 예방접종 부작용
동일한 백신 접종과 같이 통증, 부종, 발열과 같은 증상이 일어날 수 있답니다. 코로나 백신 접종때문에 이제 이 부분은 우리에게 익숙한 내용이죠? 또한 만에 하나라도 생기게 될 수 있는 아낙필락시스 쇼크와 같은 쇼크 증상이 대비하기 위해 접종 기관에 15분 가량 머물면서 증상을 관찰하는 것이 좋다고 합니다. 접종 후 며칠간 발열이나 알러지 증상같은 증상이 발생할 수 있고 이 경우는 병원 진료를 받는 것이 좋다고 합니다.






대상포진 치료 방법
대상포진은 빠른진단과 처방이 중요합니다. 대상포진 증상이 발생이 시작된 조기에 항바이러스제로 치료가 시작합니다. 대상포진은 심한 통증을 동반하기 때문에 진통제 복용도 필요합니다. 신경통이 아주 심해서 일상 활동이 어렵거나 힘든 경우에는 신경차단술을 진행할 수 있답니다. 또한 가장 주요한 것은 떨어진 면역력이 다시 제자리로 돌아오도록 작동할 수 있게 충분한 휴식을 취해주는 것으로 보이예요.
대상포진 예방방법
일상의 을 예방하는데서 가장 중요시되는 것은 면역력을 저하시키지 않는 것인데요 식사의 밸런스에 주의해 충분한 영양을 섭취하는 것입니다. 또한 수면을 올바르게 취해 규칙적이고 올바른 생활을 보내야 해요. 그리고 피곤할 때에는 반드시 휴식 취하는 것이 좋습니다.
대상포진이 타인에게 감염되는 것은 별로 없지만 수포 중에는 원인인 수두, 대상포진 바이러스가 존재하기 때문에 물방울에 걸린 적이 없는 사람에게는 물방울로 해서 감염할 가능성이 있답니다. 물집이 낫을 때까지는 물방울에 걸린 적이 없는 아기나 아이, 임산부에게는 접촉하지 않도록 합시다.
통상에서는 일단 대상포진에 걸리면 면역력이 붙어 재발하는 경우는 거의 없어요. 그러나 면역력이 아주 심하게 약해졌을 때 등 재발하는 사람도 있으므로 주의해야 합니다.
대상포진 예방접종 나이, 주기
접종대상 : 60세 이상 성인 1회 접종
젊은 사람도 접종은 되지만 입증된 효력은 50대 이상의 나이대에서 좋으며 국가 권고 접종 대상은 60대 이상으로 되어있답니다. 대상포진에 이미 걸린 경우에는 1번 걸려도 또 걸릴 수 있는 병으로 접종하는 것이 좋으며 회복 후 6~12개월 경과 후 접종하는 것이 좋다고 합니다.
오늘은 대상포진 예방접종 가격에 대하여 알려드렸어요. 항상 건강하세요.
플러팅 뜻 썸이랑 어떤 차이?
요즘 유행어 처럼 번지는 말이 있답니다. 바로 "너 그거 플러팅이야~"라는 말입니다. 여러분들은 플러팅 뜻을 알고 있으셨나요? 오늘 제가 그 뜻을 알려드릴테니 모르고 쓰시는것보다 정확히 알
unje.vinachillan.com
단호박 찌는법 (전자렌지/에어프라이어/냄비)
오늘 얘기 해 볼 것은 단호박 찌는법에 대한 것인데요, 요즘 단호박에 대한 인기가 높다고 합니다. 아래단에서 자세한 내용 살펴보도록 하겠습니다. 단호박이란?단호박은 당질이 15~20%를 차지해
unje.vinachillan.com
소화잘되는 음식 10가지 리스트
이번 포스팅은 소화잘되는 음식에 관해서 알아보도록 하겠습니다. 반드시 알아두셔야 할 중요시되는 내용이니 차근차근 읽어보세요. 소화잘되는 음식소화잘되는 식품 - 고구마탄수화물, 당류,
unje.vinachillan.com