아래쪽에서는 족저 근막염 치료법에 관해 세세히 살펴보려고 해요. 도움이 되는 정보가 많으니 세세히 살펴보시기 바라겠습니다.
족저 근막염이란?
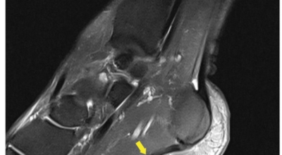
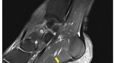
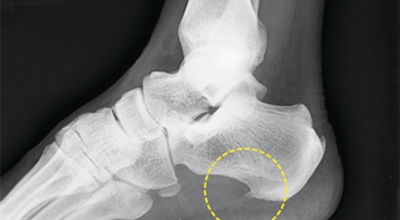
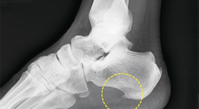
족저 근막이란 발가락 시작지점부터 발뒤꿈치뼈까지 발바닥 전체를 감싸고 있는 두꺼운 막을 말합니다. 족저 근막은 발바닥 아치를 지속시켜 발바닥이 지면을 내딛음으로써 발생하는 충격을 흡수하는 중요한 역할을 수행하고 있답니다. 이 족저 근막에 일차적으로 서서히 조직 손상이 일어나고 계속적인 활동으로 말미암아 염증이 커지면서 발 뒤꿈치 부근 통증을 일으키게 되는데 염증은 무리하고 반복적인 동작, 많은 사용으로 마찰에 의해 발생합니다.






족저 근막염은 염증에 의한 손상 및 통증을 유발하는 질환인데요 족저 근막염 증상은 일반적인 발뒤꿈치 통증 하글런드 병변의 기형으로 알려져 있으고 아킬레스 건과 관련이 깊다고 합니다. 특히 근육이 덜 풀린 아침 시간 대는 보행 시 날카롭고 바늘로 찌르는 듯한 심한 통증을 느끼게 된다고 합니다. 하지만 아침 시간 대를 지나 오후에 접어들면서 어느 정도 통증은 서서히 감소하기 시작한다고 하는데요 초기 증상이 나타난다면 꼭 전문의를 찾아 조기치료하는 것이 바람직합니다.
족저 근막염 치료법
족저 근막염 치료법 - 계단 이용하기
계단 위에 발가락부터 시작하여 발의 절반 정도만 걸쳐 섭니다. 넘어질 수 있으므로 손잡이나 난간을 잡은 뒤 까치발 서듯 발뒤꿈치와 종아리 부위를 올렸다가 내렸다를 반복해 줘요. 다리를 올리고 버티는 시간은 20초를 초과하지 않도록 하며, 20초가 될 때까지 시간을 서서히 늘려 줍니다. 튕기듯 반동을 주지 않고 서서히 해 주는 것이 중요하다고 합니다.






족저 근막염 치료법 - 영양제 섭취
글루코사민과 비타민C 등은 인대 속 결합 세포 조직의 형성을 촉진시키는 역할을 해줘요. 식품으로 섭취해도 좋고 영양제를 통해 섭취해도 무관합니다.
족저 근막염 치료법 - 수술 치료
비수술적 치료로 대부분 족저 근막염 증상이 완화될 수도 있지만 일부 환자는 수술이 필요한 경우가 있답니다. 수개월간의 비수술적 치료를 했음에도 발 통증이 계속되면 수술을 고려해봐야 하며 수술을 통해 족저 근막을 늘려주는 방법을 고려해 볼 수 있다고 하네요.
최근 관절경을 이용해 족저 근막 절개술을 시도하기도 하는데 수술적 치료의 성공률은 70~90%로 높게 알려져 있답니다. 하지만 수술 후 신경 손상 등등의 합병증이 유발될 수 있으므로 잘 알아보고 전문의와 상담후 수술을 결정하시는게 좋아요.






족저 근막염 치료법 - 비수술적 치료
비수술적 치료 방법에으로 보조기, 체외충격파, 스트레칭, 스테로이드 주사요법, 비스테로이드성 소염진통제 등이 여러 방법들이 있답니다. 족저근막염 발생초기에는 스트레칭을해서 족저근막 및 아킬레스건을 효과적으로 늘려주는 것만으로 추가적인 피해를 미리 막을 수 있습니다. 또한 보조기를 착용하여 뒤꿈치에 가해지는 충격을 완화 시킬 수 있습니다. 발에 부종이 발생된 경우 진통주사를 이용해 치료할 수 있습니다. 수술적 치료로 들어가기 전 체외충격파를 이용해 증상완화의 효과를 볼 수 있다고 해요.
족저 근막염 치료법 - 봉침
벌침의 독인 봉독을 추출하여 경혈에 주입해 치료하는 한의학 치료법입니다. 벌의 독을 경혈에 주입하여 통증을 가라앉히고 몸속의 면역기능을 활성화하여 병을 치료하는데 효과적인 오래된 전통 치료법중 1개입니다.
족저근막염 치료법으로서의 '봉침'에는 페니실린의 1,200배에 달하는 자연항생물질이 들어 있는데 이는 강력한 진통소염작용을 도와주며 봉침에 들어있는 아톨라핀이라고 부르는 성분은 주로 물리치료나 진통제와 일반 침술 등으로 별다른 효과가없는 만성적인통증에 아주 좋은 진통효과를 보실 수 있어요. 또한 봉침은 면역력을 증강시켜 모든 염증을 인간의 몸 스스로 이겨낼 수 있도록 유도하는 효과까지 있어 족저근막염치료에 탁월한 효능을 보인다고 합니다.






족저 근막염 치료 법 - 벽 이용하기
벽을 마주보고 선 다음 양팔을 뻗어서 벽을 짚습니다. 두 다리는 11자를 유지하며 앞뒤로 벌려 주고 발바닥은 바닥에 붙이고 벽과 가까운 앞쪽 다리를 구부린 다음 벽을 팔로 지그시 눌러 주며 뒤쪽 다리를 스트레칭합니다. 이 경우에 발바닥은 전부 바닥에 붙어있어야 합니다. 양쪽 다리를 번갈아 가며 해주도록 합니다.
족저 근막염 치료법 - 깔창 사용
보존 치료로 깔창을 사용할 수도 있습니다. 깔창을 장착하거나 깔창을 사용하고 있는 경우 더 두꺼운 깔창으로 바꾸어 발바닥에 가해지는 부담을 감소시키는 방법입니다.






족저 근막염 치료법 - 족욕
족저 근막염의 통증 완화를 위한 족욕방법입니다. 족욕은 발바닥의 피로를 풀어줄 뿐만 아니라 혈액순환을 좋게 하고 발바닥 근육의 긴장을 풀어준다고 합니다. 그리고 매일 밤 따뜻한 목욕을 하면 족저 근막염 치료에 보탬이 돼요.
족저 근막염 치료법 - 스트레칭 운동
처음에는 벽을 보고 서서 양손으로 벽을 짚고 아픈 쪽 발을 뒤로 빼주어 줍니다. 그리고 이 상태에서 앞쪽 무릎을 구부려 뒤쪽 다리의 아킬레스건이 당겨지도록 스트레칭을 해주도록 합니다. 따라서 이 경우에 발을 11자로 만들어야 아킬레스건과 족저근막이 효과적으로 스트레칭을 할수 있답니다. 또한 무릎이나 허리가 좋지 않다면 이 운동을 할 때 무리가 갈 수 있으니 다른 스트레칭을 하는 것이 좋습니다.
족저 근막염 치료법 - 발의 휴식
발의 휴식을 충분히 취해주는것이 매우 중요합니다. 발의 피로를 해결해주는 마사지 등으로 발에게 충분한 휴식을 부여하는 것이 좋아요. 냉찜질과 온찜질을 통해 발바닥 근육의 이완과 수축을 돕는 것도 매우 좋답니다.
족저 근막염 치료법에 대하여 알아봤는데 어떠셨나요? 오늘 알려드린 내용 바탕으로 건강에 유의하시기 바래요.
잇몸에 좋은 음식 BEST 10
입안에서 치아를 지탱해주는 잇몸은 우리의 신체에서 주요한 부분입니다. 잇몸이 안 좋으면 출혈 또는 냄새가 나며, 역시 음식물을 알맞게 섭취하는데 어려움이 있답니다. 오늘은 평소 잇몸 관
unje.vinachillan.com
아보카도 먹는 방법 추천 레시피
이번 포스팅은 아보카도에 관해서 알아볼게요. 필수로 알아두셔야 할 주요한 내용이니 차근차근 읽어보세요. 아보카도란?숲속의 버터라는 애칭이 있는 아보카도를 즐겨 드시는지요. 저는 1년
unje.vinachillan.com