간에 지방이 너무 많으면 간에 염증을 일으켜 훼손을 입히고 흉터를 남길 수 있답니다. 이렇게 간에 생긴 흉터는 간부전으로 이어질 수 있답니다. 단순한 지방간이나 지방간염은 치료를 할 수 있기 때문에 미리 알고 미리 막는 것이 중요합니다. 오늘은 지방간의 원인과 지방간 없애는 방법에 관해 디테일하게 알아보도록 할게요






지방간이란?
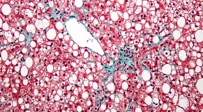
간은 약 2,500억 개의 세포가 모인 몸속에서 가장 큰 곳으로 에너지 작용과 우리 인체의 해독 역할을 하는 등 우리의 생명 유지에 필수적인 기관입니다. 지방간이란 간세포에 중성 지방이 쌓이게 된 상태를 말합니다.
처음에는 아무 증상이 없지만, 심해지면 간염을 유발하고 심한 경우 간경변으로까지 이어질 수 있는 무서운 것으로 보입니다. 지방간은 간 기능을 악화시키며 서서히 진행됩니다. 이 때문에 지방간을 침묵의 암살자라고도 합니다.
지방간 원인
1. 과음
지방간 원인 중 가장 잘 이름 난 것이 바로 과음입니다. 알코올로 인하여 발생되는 지방간을 알코올성 지방간이라 합니다. 하루 맥주 세 병 이상, 위스키 3-4잔 정도를 매일같이 마시는 사람은 지방간이 생기기 쉽답니다. 원래 몸속에 들어간 알코올 대개는 간에서 해독되어 몸 밖으로 배출되지만, 간 기능이 약해지며 해독력이 떨어지게되면 지방간이 점점 더 쌓이게 되어요.
2. 비만
지방간 원인 또 한 개로 비만과 당뇨를 들 수 있습니다. 알코올이 원인이 아닌 지방간을 '비알콜성 지방간'이라 합니다. 원인은 비만과 당뇨병, 고지혈증 등이 있다고 하며, 이유는 인슐린 기능이 둔해져 있기 때문입니다. 인슐린 기능이 둔해지면 간에 지방이 축적되기 쉬운 환경이 되기 때문에 지방간으로 이어질 수 있답니다.






3. 탄수화물 과도 섭취
비알콜성 지방간 환자가 부쩍 늘어난 이유는 과한 탄수화물 섭취나, 불균형으로 이뤄진 영양 섭취에 의한 것으로 보고되고 있습니다. 특별히 코로나 이후 운동량이 적어지고 집에 있는 경우가 많으며, 고열량의 배달 음식이나 설탕이 많은 음식을 섭취하므로서 지방간 수치가 높아지고 있다고 하죠. 이런 비알콜성 지방간은 결과적으로 음식과 운동량에 따른 문제로서 연령층과 관계 없이 소아 지방간 환자도 늘어나는 추세입니다.
지방간 증상
동일한 지방간 증상은 피로감이 해소되지 않는다는 개성이 있죠. 그리고 체력이 약해져 전보다 힘을 알맞게 쓸 수 없으며, 집중력이 낮아져 업무역량이 떨어지게 되어요. 때때로 복부 팽창감, 눈과 피부의 황변, 남성 유방 증의 증상이 나타날 수 있답니다.
지방간 없애는 방법
1. 지방간 없애는 방법 - 금주
지방간 없애는 방법 중 감량할 수 없는 것이 금주입니다. 물론 비알코올성 지방간도 있지만, 알코올성 지방간을 제거하기 위하여는 너무도 당연히 술을 끊는 것이 정답일 것으로 보입니다. 술로 인해 부족해진 영양을 보충해주기 위해 육체에 좋은 음식을 많이 먹고, 또 음주를 할 시간에 계속적으로 운동을 해주면 지방간이 감소시킬 수 있을 것으로 보입니다. 음주 자체가 건강에 여러 해로운 영향을 미치는 만큼, 완전한 금주는 힘들더라도 일반적인 때에 음주를 즐겨하시는 분들이라면 음주량을 조절하는 노력이 필요합니다.






2. 지방간 없애는 방법 - 지방 섭취 자제
지방간 없애는 방법으로 지질은 멀리하는 것이 좋습니다. 조리는 식물성 기름을 활용하고, 1일 활용량은 1 큰술 정도로 억제해니다. 지질은 동물성도 식물성도 제한하지만 극단적인 제한은 필수 지방산의 결핍이 발생하기 쉽기 때문에 균형을 유지할 수 있는 정도로 제한해요.
3. 지방간 없애는 방법 - 체중관리
지방간의 문제는 간에 지방이 누적되면서 시작됩니다. 그러므로 다이어트은 지방간을 근본적으로 치료하는 방법인데요 여러가지 연구 결과에 근거하면 간 축적된 지방을 줄이기 위해 체중의 3~5%를 감량할 것을 권장합니다. 그리고 체중의 7~10%를 감량하면 염증, 섬유증, 흉터와 같은 증상을 개선할 수 있답니다.
이렇게 체중을 줄여주며 지속하는 제일 좋은 방법은 최종 목표를 정하며, 조금씩 천천히 실천하는 것으로 보입니다. 단식과 극단적인 체중감량는 지속할 수 없을 뿐만 아니라 간에 무리를 주기 때문입니다. 만에 하나라도 현재 체중의 10%를 감량하는 것이 최종적인 목표라면, 일주일에 500g에서 1kg 정도를 지속적으로 줄이는 게 좋아요.
4. 지방간 없애는 방법 - 지속적인 운동
평소에 활동량이 많지 않고 운동도 하지 않는다면 지방간이 발생할 가능성이 높다고 합니다. 그러므로 운동을 하는 것만으로도 간에 쌓이게 된 지방을 낮출 수 있는데요 지방간을 제거하기 위하여는 전신을 움직이는 유산소 운동이 가장 좋답니다.
또한 무거운 기구를 드는 등 근력을 신장하는 운동을 하는 것도 효과가 있답니다. 최대 심박수의 60~70% 정도로 보존되는 중상급 유산소 운동을 30~60분 이상 하면서, 근력 운동을 병행해 주는 것이 좋습니다. 그리고 운동 횟수는 일주일에 5일 이상이 좋고, 최소한 3일 이상 운동을 해야 의미 있는 운동 효과를 볼 수 있습니다.
중성 지방의 근원이 되는 당 대사에서는 전신 당질의 약 70%는 골격근에서 소비되고 있으므로 근육 트레이닝으로 근육량을 늘리는 것은 결과적으로 지방간의 보완에 도움 됩니다. 이 근육 트레이닝과 유산소 운동은 간 기능의 개선 및 예방에 도움이 되므로 진행 상황에 관계없이 실천하는 편이 좋아요. 계속적으로 1주일에 3번 이상, 한 번 할 때 30분 이상 하시면 보탬이 돼요.






5. 지방간 없애는 방법 - 당분 자제
지방간 없애는 방법으로 단 음식을 제한하는 것이 좋을겁니다. 주스, 탄산음료와 과자에 포함된 설탕이나 과일에 많은 과당은 곡류에 들어가있는 전분류에 견주어 중성 지방이 간에 축적되기 쉬운 성질을 지니고 있습니다. 설탕을 많이 포함한 식품은 피하고, 과일은 삼가며, 곡류는 과하지 않을 만큼 섭취해요.
7. 지방간 없애는 방법 - 채소와 단백질 섭취
녹황색 채소는 세포의 재생을 돕고 지방의 축적을 예방해 줘요. 단백질이 간에서 올바르게 활용되기 위하여는 비타민은 물론 미네랄도 충분히 필요합니다. 비타민이 풍부하고 항산화 성분을 지니고 있는 브로콜리, 시금치, 당근, 피망 등 녹황색 채소는 깨끗하고 탄력 있는 혈관을 유지해주고 지방간을 제거하는 데 많은 도움을 줍니다.
8. 지방간 없애는 방법 - 충분한 수면
성인 기준 하루 평균수면 시간은 7시간 정도로 권장 수면시간을 지키지 못하면 피로에 시달리고 지방간을 나타나게 할 수 있습니다. 하루 6시간 이하의 수면은 지방간을 촉진할 수 있다고 하며, 혈당수치의 컨트롤이 어려워집니다.


지방간 없애는 방법과 지방간의 원인에 대해 알려드렸어요. 읽으시는 분께 아주 좋은 내용이 되었기를 바랄게요.
혈뇨가 나오는 이유 10가지
피로하던가 전날 심한 과음으로 인하여 혈뇨를 보시거나 혹은 이유모를 혈뇨를 보시는 경우가 있나요? 건강신호중 큰 위험신호인 혈뇨가 나오는 이유를 알려드릴게요. 혈뇨 혈뇨란 소변에 비정
unje.vinachillan.com