잇몸이 붓고 아프지만 그 원인을 몰라 치과를 가야 한 개 말아야 1개 고민을 하시는 분들이 많습니다. 나이가 적든 많든 치과를 가는 것을 무서워 하는 분이 많은데요 방치했다가는 더 힘들고 돈도 많이 들게 됩니다. 오늘은 잇몸이 붓고 아플때 그 원인과 이유 해당 질환들에 관해서 구체적으로 알려드리도록 하겠습니다.






내 잇신체 컨디션 자가진단
아래 항목에서 해당하는 것의 점수를 더하여 점수가 낮을수록 잇신체 상태가 건강하고 점수가 높을수록 잇몸 건강이 좋지 않습니다.
- 이를 닦을 때 잇몸에서 출혈이 발생해요. (10점)
- 당뇨병으로 인한 치료경험이 있거나 현재 당뇨병으로 치료중입니다. (10점)
- 치석이 이빨에 존재해요. (10점)
- 이가 흔들리는 곳이 있답니다. (10점)
- 이빨 사이에 음식물이 수시로 끼입니다. (6점)
- 입 냄새가 나게됩니다. (8점)
- 잇몸에 통증이 있답니다. (8점)
- 이가 시리다. (7점)
- 잇몸이 수시로 붓습니다. (10점)
- 틀니를 활용하시는 부모님이 계신다. (8점)
- 피곤하면 이가 들뜬다. (8점)
- 현재 흡연자입니다. (5점)
잇몸이 붓고 아플때 원인
1. 잇몸이 붓고 아플때 - 치주질환
치주질환의 가장 저명한 원인은 치태와 치석입니다. 구강 내 음식물과 세균으로 인해서 치태가 형성되고, 제때 제거되지 못한 치태는 치석을 형성하고 결국 치주질환을 유발해요. 세균들이 잇몸에 염증반응을 유발하는 물질을 분비하고 이로 인해 잇몸이 붓고 잇몸에서 피가나는 증상이 생기는 것으로 보입니다.
잇몸에 발생되는 염증을 ‘치은염’이라고 부르고, 이 경우에 잇몸의 염증치료가 제때 되지 않아 염증이 악화되면 치주염으로 변하게 돼요. 증상이 악화되면 ‘치아상실’까지 초래할 수 있기 때문에 평소 잇몸관리는 필수입니다.






옳지 않은 형태로 자라는 사랑니는 초기엔 잇몸이 붓는 정도이지만, 나중에는 근처 어금니를 썩게 만들고 사랑니와 멀쩡한 어금니까지 통째로 발치하게 되는 불상사가 생길 수 있습니다. 사랑니의 경우 잇몸 내부쪽으로 매복해 자라는 경우도 풍부하기 때문에 치과에서 사랑니 유무를 확실히 확인할 수 있습니다.
2. 잇몸이 붓고 아플때 - 면역력 저하
이 붓고 통증이 생겨 치과를 방문하는 환자들이 늘어나고 있답니다. 감기로 인해서 면역체계가 약해지면 바이러스에 노출되기 어렵지도 않고 평소 잇몸 질환을 지니고 있던 사람이 면역력이 줄어들게 되면 방어체계가 약해져서 잇몸이 붓거나 피가나고 통증이 생길 수 있답니다.
이 때문에 잇몸에 물집이 생겨나게되고 잇몸이 붓고 출혈을 발생시키게 됩니다. 대부분 피로를 풀게되면 없어지는 경우가 많지만 잇몸의 부기가 상당히 오래가는 경우가 풍부하기 때문에 필수로 이경우 병원에 내원하셔서 치료를 받는편이 좋아요.






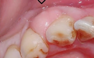
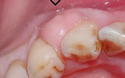
3. 잇몸이 붓고 아플때 - 사랑니
사랑니는 치아 중 아래 위로 가장 안쪽에 나오는 어금니입니다. 사람마다 사랑니가 4개가 나는 경우가 있으며 하나가 나는 경우가 있으며, 잇몸이 붓고 아플때는 사랑니가 근처 어금니를 건드리는 옳지 않은 형태로 자라고 있을 확률이 높다고 합니다.
잇몸이 붓고 아플때 방법
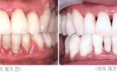
1. 스케일링
잇몸 질환은 플러그가 누적되어 염증으로 발전해 발생되는 것이므로 치석을 제거해주는 스케일링을 정기적으로 받는다면 좋은 잇몸을 유지할 수 있답니다. 스케일링의 경우엔 보험이 적용되기 때문에 1-2만 원 정도의 저렴한 비용으로 받을 수 있기 때문에 필수로 정기적으로 받아보시기 바랍니다.
2. 칫솔 빈번히 바꾸기
생각보다 칫솔을 수시로 바꾸는 분이 많지 않습니다. 모가 벌어지고 망가졌을 때는 이미 늦은 상태인데요 사람에 따라 칫솔을 바꾸는 시기는 정해져 있지 않아요. 하지만 최소 3개월에 한 번은 새 칫솔로 교환하는 게 좋아요. 훨씬이 살균 관리를 하고 있지 않으신다면 훨씬 수시로 교체해 주는 편이 좋아요. 욕실은 습하므로 세균이 많이 번식할 수 있기 때문입니다.
칫솔모가 2주 안에 닳는다면 너무 세게 칫솔질을 하고 있는 것이며 6개월 이상 활용했음에도 칫솔이 그대로면 칫솔질을 너무 살살 한 것이니 꼼꼼하게 칫솔질을 해야해요. 칫솔질은 플라크가 잘 끼는 잇몸과 치아 사이를 신경 써서 닦으셔야 해요. 치아 안쪽과 이가 빠진 부위는 더 꼼꼼하게 닦아주는 것이 훨씬 효과가 좋은 칫솔질 방법입니다.



3. 치실 활용
치실은 칫솔이 닿지 않는 치아 구석구석의 치태를 제거해주도록 하며 잇몸에 올라와있는 염증까지도 긁어 없애준다고 해요. 잇몸에 있는 염증이 잇몸 곳곳을 붓게 하고 통증을 일으키고 있었다 생각하시면 되어요. 그 염증을 치실로서 긁어 없애주기 때문에 염증은 물론 피까지 나게 되는 것이랍니다.
치실 활용 후 피가 나는 건 지극히 정상인 경우가 많지만 저처럼 옳지 않은 그리고 많은 치실 활용으로 잇몸이 더 붓고 통증까지 심해지는 불상사가 생길 수도 있기 때문에 시간적 여유를 두고 조심스럽게 치실을 활용하셔야 해요.
4. 냉온찜질
통증이 있는 잇몸을 고치는 대단하고 쉬운 방법은 잇몸에 압축을 가해서 통증을 고치는 것인데요 온찜질이나 냉찜질을 하면 됩니다. 온찜질은 약간의 물을 가열하되 끓지 않도록 하세요. 물은 견딜 수 있듯이 넉넉하게 뜨거워야 해요. 깨끗한 천을 물에 적셔 여분의 물을 짜내고 얼굴의 잇몸 통증 부위에 붙입니다.
냉찜질은 깨끗한 천으로 싸서 얼음찜질을 하고 온찜질등의 방법으로 찜질해요. 통증과 부기가 가라앉을 때까지 두 찜질을 번갈아 가며 활용할 수 있습니다.
5. 스트레스 감소
충분한 휴식과 컨디션 조절로 면역력이 낮아지지 않도록 관리해 주셔야 해요. 많은 스트레스와 면역력 저하는 잇몸뿐 아니라 인체를 아프게하는 주 원인입니다. 충분한 휴식을 갖고 비타민이나 부족한 영양을 꼭 보충하며 건강을 지키도록 해야해요.
스트레스를 많이 받게 되면 침샘의 기능이 약해지므로 세균의 활동을 억제시키는 침의 양이 적어진다고 해요. 그렇게 되면 세균의 활동이 활발해져 잇몸 질환에 걸릴 위험도가 높아지는데 잇몸 건강을 유지하기 위해선 스트레스를 줄여주며 물을 빈번히 마셔 입안을 촉촉하게 유지해 주는것이 좋을겁니다.



6. 소금물 가글
소금물로 헹구는 것은 아픈 잇몸을 도와주는 훌륭한 가정 요법입니다. 물의 소금은 박테리아의 성장을 방지하고 이미 입안에서 자라는 박테리아를 제거하는 데 도움이 돼요. 먼저 물 한 컵을 데우고 끓지 않았는지 확인하고 소금 1티스푼을 넣으십시오. 소금물을 입에 넣고 몇 초 동안 잘 헹구고 싱크대에 뱉어냅니다.
7. 잇몸 마사지
잇몸이 붓고 아플때 잇몸마사지로 통증을 완화시킬 수 있답니다. 다리도 뻐근하고 아플 때 마사지를 받으면 개운해지는 것 처럼 잇몸도 마사지를 통해 혈액순환이 잘 되게끔 해준다면 통증과 부은 잇몸은 진정시키는데 큰 힘 입을 수 있답니다.
양치를 하고 손을 깨끗하게 씻은 후 편한 손가락으로 잇몸을 시계방향으로 돌려 눌러주고 마사지를 해주면 이 전보다 혈액순환이 순조롭게 되어 붓기는 물론 통증까지 그리고 균에 대한 저항력까지 이 전보다 높인다고해요.
8. 영양소 보충
아프고 염증이 있는 잇몸을 도와주는 최선의 방법은 애초에 방지하는 것으로 보입니다. 잇몸을 막아주고 개선시키는 최고의 방법은 영양분을 개선시키는 것으로 보입니다. 칼슘, 비타민 C 또는 엽산을 식단에 통합하는 것으로 시작하세요. 식단에 이러한 비타민이 없으면 잇몸이 붓는 원인 중 하나가 될 수 있습니다. 비타민 C는 브로콜리, 피망, 오렌지, 파인애플, 케일, 키위, 딸기와 같은 다양한 식품에서 찾을 수 있답니다.
잇몸이 붓고 아플때에 대하여 전해드렸습니다. 위 내용 바탕으로 건강에 항상 힘써보시기 바랄게요. 방문해 주셔서 감사드리겠습니다.
방귀가 많이 나오는 이유 체크리스트
아래에서는 방귀가 많이 나오는 이유에 대해 자세히 살펴보려고 합니다. 평소 속이 부글거리고 가스가 많아 불편함이 있으셨다면 읽어보시고 도움 되셨으면 합니다. 방귀 대장 안의 기체는 이
unje.vinachillan.com