폐렴은 폐에 염증이 생기는 질환으로, 감기나 독감과 유사한 증상을 보이지만 더욱 심각한 합병증을 유발할 수 있습니다. 기침, 가래, 발열과 같은 일반적인 폐렴 증상 외에도 호흡곤란, 흉통 등 다양한 증상이 나타날 수 있으며, 심한 경우 사망에 이를 수도 있습니다. 이 글에서는 폐렴의 다양한 원인과 증상을 자세히 알아보고, 효과적인 예방 및 치료 방법에 대해 심층적으로 분석하여 독자 여러분의 건강 관리에 도움을 드리고자 합니다. 최신 정보를 바탕으로 폐렴에 대한 모든 것을 꼼꼼하게 정리했으니, 꼼꼼히 읽어보시고 건강한 삶을 유지하시는데 도움이 되기를 바랍니다.
1. 폐렴이란 무엇일까요?
폐렴은 폐의 실질 조직에 염증이 생기는 질환으로, 주로 세균, 바이러스, 곰팡이 등의 감염에 의해 발생합니다. 폐렴은 감염성 질환이므로 전염될 수 있으며, 특히 면역력이 약한 영유아, 노인, 만성 질환자에게 더욱 위험합니다. 폐렴은 발생 위치에 따라 대엽성 폐렴과 기관지 폐렴으로 나뉘며, 원인균에 따라 세균성 폐렴, 바이러스성 폐렴, 곰팡이성 폐렴 등으로 분류됩니다.
- 대엽성 폐렴: 폐의 한 구역 전체 또는 넓은 부위에 염증이 생기는 경우
- 기관지 폐렴: 기관지 주변의 폐 조직에 염증이 여러 군데 발생하는 경우





2. 폐렴의 주요 원인: 누가 폐렴에 걸릴까요?
폐렴은 다양한 원인에 의해 발생할 수 있으며, 원인균에 따라 치료 방법이 달라질 수 있습니다.
| 원인 | 설명 |
|---|---|
| 세균 | 가장 흔한 원인균은 폐렴구균이며, 그 외에도 마이코플라스마, 클라미디아, 레지오넬라 등이 있습니다. 세균성 폐렴은 항생제 치료에 잘 반응합니다. |
| 바이러스 | 인플루엔자 바이러스, 호흡기 세포융합 바이러스(RSV), 아데노바이러스 등이 있습니다. 바이러스성 폐렴은 세균성 폐렴보다 증상이 가벼운 경우가 많지만, 합병증을 유발할 수 있습니다. |
| 곰팡이 | 면역력이 저하된 환자에게 주로 발생하며, 아스페르길루스, 칸디다 등이 원인균입니다. |
| 흡인 | 음식물, 위산 등이 기도로 잘못 흡인되어 발생하는 폐렴으로, 뇌졸중 환자나 의식 저하 환자에게 흔히 발생합니다. |
| 화학 물질 또는 방사선 | 화학 물질 흡입 또는 방사선 치료로 인해 폐에 손상이 생겨 폐렴이 발생할 수 있습니다. |
폐렴 발병 위험을 높이는 요인:
- 어린이 및 노인: 면역력이 약하기 때문에 폐렴에 취약합니다.
- 만성 질환: 당뇨병, 심장 질환, 폐 질환, 신장 질환 등 만성 질환을 앓고 있는 경우
- 흡연: 흡연은 폐 기능을 저하시키고 면역력을 떨어뜨려 폐렴 발병 위험을 높입니다.
- 면역 억제제 복용: 장기 이식 환자나 자가면역질환 환자 등 면역 억제제를 복용하는 경우
- 병원 입원: 병원 내 감염으로 인해 폐렴에 걸릴 위험이 높아집니다.






3. 핵심! 폐렴 증상 완벽 정리: 어떤 신호들을 주의해야 할까요?
폐렴 증상은 원인균, 환자의 나이, 기저 질환 등에 따라 다양하게 나타날 수 있습니다. 초기에 감기나 독감과 유사한 증상을 보이는 경우가 많아 진단이 늦어질 수 있으므로, 다음 증상들을 주의 깊게 살펴야 합니다.
- 기침: 마른 기침 또는 가래를 동반한 기침이 나타날 수 있습니다. 가래는 맑거나 누렇거나 녹색을 띨 수 있으며, 심한 경우 피가 섞여 나올 수도 있습니다.
- 가래: 끈적하고 누런 가래, 심지어 혈액이 섞인 가래가 나올 수 있습니다.
- 발열: 38도 이상의 고열이 지속될 수 있으며, 오한을 동반하는 경우도 있습니다.
- 호흡곤란: 숨이 가빠지거나 숨쉬기 힘들어지는 증상이 나타날 수 있습니다. 특히 운동 시 또는 누워 있을 때 더욱 심해질 수 있습니다.
- 흉통: 숨을 쉴 때나 기침할 때 가슴 통증이 느껴질 수 있습니다.
- 근육통 및 두통: 몸살감기와 유사하게 근육통과 두통이 동반될 수 있습니다.
- 피로감: 심한 피로감과 무기력감을 느낄 수 있습니다.
- 식욕 부진: 식욕이 감퇴하고 소화 불량이 나타날 수 있습니다.
- 정신 착란: 노인 환자의 경우 혼돈, 섬망과 같은 정신 착란 증상이 나타날 수 있습니다.
연령별 폐렴 증상 차이:
| 연령 | 주요 증상 |
|---|---|
| 영유아 | 기침, 발열, 콧물, 젖을 잘 먹지 않음, 보챔, 구토, 설사, 호흡 곤란 (코 벌렁거림, 가슴 함몰), 청색증 |
| 어린이 | 기침, 발열, 가래, 흉통, 복통, 구토, 두통, 식욕 부진, 무기력감 |
| 성인 | 기침, 발열, 가래, 흉통, 호흡 곤란, 근육통, 두통, 피로감, 식욕 부진, 오한 |
| 노인 | 기침 (경미하거나 없을 수도 있음), 발열 (미열일 수 있음), 호흡 곤란, 정신 착란, 식욕 부진, 무기력감, 기력 저하, 낙상 |
주의: 특히 노인 환자의 경우 폐렴 증상이 뚜렷하게 나타나지 않을 수 있으므로, 평소와 다른 행동 변화나 갑작스러운 기력 저하가 나타나면 폐렴을 의심해봐야 합니다.






4. 폐렴 진단: 어떻게 폐렴을 확인할 수 있을까요?
폐렴은 증상만으로는 정확하게 진단하기 어려우므로, 다음과 같은 검사를 통해 진단합니다.
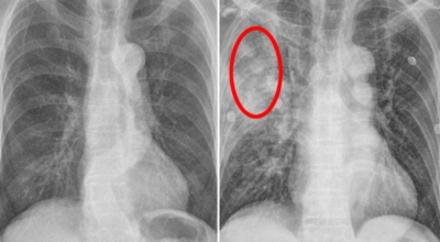
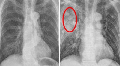
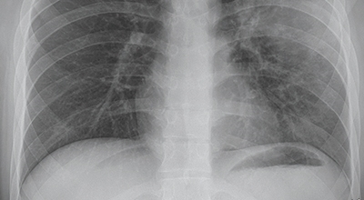
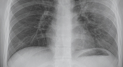
- 흉부 X선 촬영: 폐의 염증 부위를 확인하는 가장 기본적인 검사입니다.
- CT 촬영: X선 촬영보다 더 자세한 영상을 얻을 수 있어 폐렴의 위치와 범위를 정확하게 파악할 수 있습니다.
- 혈액 검사: 백혈구 수치 증가, 염증 수치 증가 등을 통해 폐렴 여부를 확인합니다.
- 객담 검사: 가래를 채취하여 원인균을 확인하는 검사입니다. 항생제 감수성 검사를 통해 효과적인 항생제를 선택할 수 있습니다.
- 혈액 배양 검사: 혈액 내 세균 유무를 확인하는 검사입니다.
- 동맥혈 가스 분석: 혈액 내 산소 및 이산화탄소 농도를 측정하여 호흡 부전 여부를 확인합니다.
- PCR 검사: 바이러스성 폐렴의 원인 바이러스를 확인하는 검사입니다.
5. 폐렴 치료: 어떻게 폐렴을 이겨낼 수 있을까요?
폐렴 치료는 원인균에 따라 달라지며, 세균성 폐렴의 경우 항생제 치료가 주를 이룹니다. 바이러스성 폐렴은 대부분 자연적으로 치유되지만, 심한 경우 항바이러스제를 사용하기도 합니다.
- 항생제 치료: 세균성 폐렴의 경우 항생제를 사용하여 원인균을 제거합니다. 항생제는 경구 투여 또는 정맥 주사로 투여할 수 있으며, 환자의 상태에 따라 투여 경로와 기간이 결정됩니다. 중요한 점은 의사의 처방에 따라 정해진 기간 동안 꾸준히 항생제를 복용해야 한다는 것입니다. 증상이 호전되었다고 임의로 복용을 중단하면 내성균이 발생할 수 있습니다.
- 항바이러스제 치료: 인플루엔자 바이러스, RSV 등 특정 바이러스에 의한 폐렴의 경우 항바이러스제를 사용할 수 있습니다.
- 대증 치료: 기침, 발열, 흉통 등 증상을 완화하기 위한 치료입니다. 해열제, 진해거담제, 진통제 등을 사용할 수 있으며, 충분한 수분 섭취와 휴식이 중요합니다.
- 산소 치료: 호흡 곤란이 심한 경우 산소 마스크나 비강 캐뉼라를 통해 산소를 공급합니다.
- 기타 치료: 필요에 따라 기관지 확장제, 스테로이드 등을 사용할 수 있습니다.
폐렴 치료 시 주의사항:
- 충분한 휴식: 몸이 회복될 수 있도록 충분한 휴식을 취해야 합니다.
- 수분 섭취: 탈수를 예방하고 가래를 묽게 하기 위해 충분한 수분을 섭취해야 합니다.
- 금연: 흡연은 폐 기능을 악화시키므로 반드시 금연해야 합니다.
- 영양 섭취: 균형 잡힌 식단을 통해 영양을 충분히 섭취해야 합니다.
- 개인 위생: 손을 자주 씻고, 기침이나 재채기 시 입과 코를 가리는 등 개인 위생을 철저히 해야 합니다.





입원 치료가 필요한 경우:
- 고령, 만성 질환, 면역 저하 환자
- 호흡 곤란이 심한 경우
- 의식 저하 또는 정신 착란 증상이 있는 경우
- 항생제 치료에 반응하지 않는 경우
- 합병증 발생 위험이 높은 경우
6. 폐렴 예방: 어떻게 폐렴으로부터 우리 몸을 보호할 수 있을까요?
폐렴은 예방 가능한 질환입니다. 다음 예방 수칙을 잘 지켜 폐렴으로부터 건강을 지키세요.
- 예방 접종: 폐렴구균 백신과 인플루엔자 백신은 폐렴 예방에 효과적입니다. 특히 65세 이상 노인, 만성 질환자, 면역 저하자는 예방 접종을 적극적으로 권장합니다.
- 폐렴구균 백신: 폐렴구균은 폐렴의 가장 흔한 원인균 중 하나입니다. 폐렴구균 백신은 폐렴구균에 의한 폐렴을 예방하고, 폐렴으로 인한 합병증 발생 위험을 줄여줍니다. 65세 이상은 반드시 접종해야 하며, 만성 질환자도 접종하는 것이 좋습니다.
- 단백결합 백신 (PCV13): 1회 접종
- 다당질 백신 (PPSV23): 1회 접종 (PCV13 접종 후 최소 8주 간격으로 접종 권장)
- 인플루엔자 백신: 인플루엔자 바이러스는 폐렴을 유발할 수 있습니다. 인플루엔자 백신은 인플루엔자 감염을 예방하고, 인플루엔자로 인한 폐렴 발생 위험을 줄여줍니다. 매년 유행하는 인플루엔자 바이러스 종류가 다르므로, 매년 접종해야 합니다.
- 폐렴구균 백신: 폐렴구균은 폐렴의 가장 흔한 원인균 중 하나입니다. 폐렴구균 백신은 폐렴구균에 의한 폐렴을 예방하고, 폐렴으로 인한 합병증 발생 위험을 줄여줍니다. 65세 이상은 반드시 접종해야 하며, 만성 질환자도 접종하는 것이 좋습니다.
- 개인 위생: 손을 자주 씻고, 기침이나 재채기 시 입과 코를 가리는 등 개인 위생을 철저히 해야 합니다.
- 금연: 흡연은 폐 기능을 악화시키므로 반드시 금연해야 합니다.
- 균형 잡힌 식단: 영양을 충분히 섭취하여 면역력을 강화해야 합니다.
- 적절한 운동: 규칙적인 운동은 면역력 강화에 도움이 됩니다.
- 만성 질환 관리: 당뇨병, 심장 질환, 폐 질환 등 만성 질환을 꾸준히 관리해야 합니다.
- 구강 위생: 구강 내 세균이 폐로 흡인되어 폐렴을 유발할 수 있으므로, 구강 위생을 철저히 해야 합니다.
- 주변 환경 청결: 실내 환기를 자주 하고, 먼지가 쌓이지 않도록 청결하게 유지해야 합니다.
- 사람 많은 곳 피하기: 감염 위험을 줄이기 위해 사람이 많은 곳은 피하는 것이 좋습니다.






7. 폐렴 합병증: 무서운 합병증을 조심하세요!
폐렴은 치료하지 않거나 적절한 치료를 받지 못할 경우 심각한 합병증을 유발할 수 있습니다.
- 농흉: 폐를 둘러싼 흉막강에 고름이 고이는 합병증입니다. 항생제 치료와 함께 흉관 삽입술을 통해 고름을 배출해야 합니다.
- 폐농양: 폐 조직에 고름이 고이는 합병증입니다. 항생제 치료와 함께 배농 치료가 필요할 수 있습니다.
- 호흡 부전: 폐 기능 저하로 인해 혈액 내 산소 농도가 낮아지고 이산화탄소 농도가 높아지는 상태입니다. 산소 치료 또는 인공호흡기 치료가 필요할 수 있습니다.
- 패혈증: 감염이 혈액을 통해 전신으로 퍼져 발생하는 심각한 합병증입니다. 항생제 치료와 함께 수액 치료, 혈압 유지 치료 등이 필요합니다.
- 급성 호흡 곤란 증후군 (ARDS): 폐에 심한 염증이 생겨 폐 기능이 급격히 악화되는 상태입니다. 인공호흡기 치료가 필요하며, 사망률이 매우 높습니다.
- 심부전: 폐렴으로 인해 심장에 부담이 가중되어 심장 기능이 저하되는 상태입니다.
8. 폐렴 관련 자주 묻는 질문 (FAQ)
Q1: 폐렴은 전염되나요?
A: 네, 폐렴은 전염될 수 있습니다. 특히 세균성 폐렴과 바이러스성 폐렴은 기침, 재채기 등을 통해 전파될 수 있습니다. 따라서 개인 위생을 철저히 하고, 기침 예절을 지키는 것이 중요합니다.
Q2: 감기와 폐렴은 어떻게 다른가요?
A: 감기는 주로 코, 목 등 상기도에 염증이 생기는 질환이며, 폐렴은 폐에 염증이 생기는 질환입니다. 감기는 콧물, 코막힘, 인후통 등의 증상이 주로 나타나지만, 폐렴은 기침, 가래, 발열, 호흡곤란 등의 증상이 나타납니다. 감기는 대부분 저절로 낫지만, 폐렴은 치료가 필요하며 심한 경우 합병증을 유발할 수 있습니다.
Q3: 폐렴에 걸리면 얼마나 오래 아픈가요?
A: 폐렴의 경과는 원인균, 환자의 나이, 기저 질환 등에 따라 다릅니다. 세균성 폐렴의 경우 항생제 치료를 받으면 대부분 1~2주 안에 호전되지만, 바이러스성 폐렴은 회복하는 데 더 오래 걸릴 수 있습니다. 심한 경우 몇 주에서 몇 달 동안 증상이 지속될 수도 있습니다.
Q4: 폐렴 완치 후에도 기침이 계속 나오는데 괜찮은가요?
A: 폐렴 완치 후에도 기침이 1~2달 정도 지속될 수 있습니다. 이는 폐가 완전히 회복되는 데 시간이 걸리기 때문입니다. 하지만 기침이 심해지거나, 가래가 나오거나, 발열이 다시 나타나는 경우에는 병원을 방문하여 진료를 받아야 합니다.
Q5: 폐렴 예방 접종은 꼭 맞아야 하나요?
A: 네, 폐렴 예방 접종은 폐렴 예방에 효과적입니다. 특히 65세 이상 노인, 만성 질환자, 면역 저하자는 폐렴 예방 접종을 적극적으로 권장합니다.
결론
폐렴은 누구에게나 발생할 수 있는 흔한 질환이지만, 적절한 예방과 치료를 통해 충분히 극복할 수 있습니다. 폐렴 증상이 나타나면 즉시 병원을 방문하여 진료를 받고, 의사의 지시에 따라 치료를 받는 것이 중요합니다. 또한, 평소 건강 관리에 힘쓰고, 예방 접종을 통해 폐렴으로부터 건강을 지키세요. 이 글이 독자 여러분의 건강 관리에 도움이 되었기를 바랍니다.
본 정보는 일반적인 지식 제공 목적으로 작성되었으며, 의학적 진단이나 치료를 대체할 수 없습니다. 반드시 전문 의료진과 상담하여 정확한 진단과 치료를 받으시기 바랍니다.